EndoFree Mini Plasmid Kit (50 preps)
Your shopping cart is empty!
Product Description
The EndoFree Mini Plasmid Kit adopts a unique silica membrane adsorption technology to efficiently and specifically bind plasmid DNA. The special endotoxin-removing system can effectively remove impurities such as endotoxin and proteins. The whole extraction process takes only 1 hour, which is convenient and quick. The plasmid extraction yield is related to the plasmid copy number, host bacteria type and the culture conditions. Up to 70 μg of plasmid DNA can be extracted from 5-15 ml of the overnight cultured bacteria culture medium.
Key Features
• Rapid and high yield: 5-70 μg plasmid DNA can be extracted in around 1 hour.
• High-purity: The special endotoxin removal system combined with Spin Column CP4 can specifically adsorb nucleic acid and remove endotoxin to the minimal level.
• Wide range of applications: Suitable for routine experiments such as restriction endonuclease digestion, PCR, sequencing, ligation, transformation, as well as the high-precision experiments such as gene therapy, cell microinjection, gene silencing, transcription, etc.
Specifications
| Plasmid Type | Bacterial Culture Volume | Yield | Plasmids |
| Low Copy | 1-5 ml | 3-12 μg | pBR322, pACYC, pSC101, SuperCos, pWE15 |
| High Copy | 1-5 ml | 6-30 μg | pTZ, pUC, pBS, pGM-T |
Components
1. RNase A (10 mg/ml): 150 μl
2. Buffer P1: 15 ml
3. Buffer P2: 15 ml
4. Buffer P4: 15 ml
5. Endotoxin Removal Buffer ER: 5 ml
6. Buffer ED: 35 ml
7. Buffer PW: 15 ml
8. Buffer TB: 15 ml
9. RNase-Free Centrifuge Tubes (1.5 ml): 50
10. Spin Columns CP4: 50
11. Collection Tubes 2 ml: 50
Storage
Store at room temperature.
Case Study

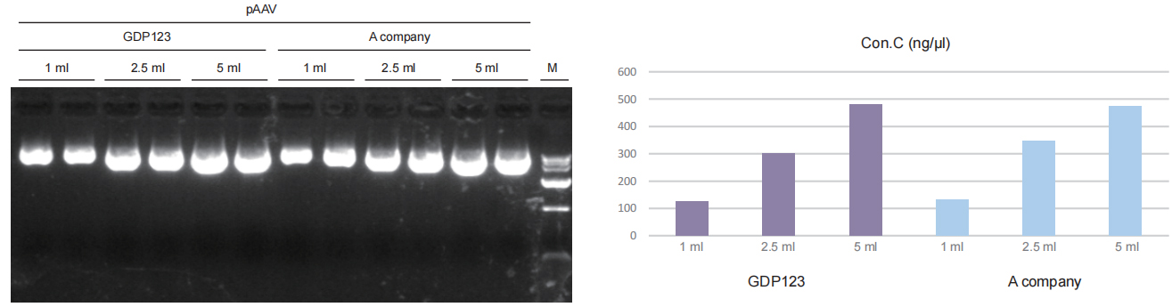
Endofree Mini Plasmid Kit and A Company kit were used respectively. Different volumes of pAAV plasmids were extracted at the same time, the elution volume was 50 μl, 2 μl of samples were taken, the concentration of agarose gel was 1%, and electrophoresis was performed at 6 V/cm for 18 min.
Publications
1. RGD-p21Ras-scFv expressed prokaryotically on a pilot scale inhibits ras-driven colorectal cancer growth by blocking p21Ras-GTP.
Publication: BMC Cancer Product: EndoFree Mini Plasmid Kit II
2. CHD1L knockdown suppresses bladder cancer cell growth in vitro.
Publication: Europe PMC Product: EndoFree Mini Plasmid Kit II
