KD-Validated CHEK1 Rabbit mAb (20 μl)

0 reviews 0 sold. Only 100 remain
$149.00
Product Code: 61554
Stock 2-3 Days

Product Description

Reactivity:   Human, Mouse, Rat    
Applications:   WB, FC, IC    
Host Species:   Rabbit    
Isotype:   IgG    
Clonality:   Monoclonal antibody    
Gene Name:   checkpoint kinase 1
Gene Symbol:   CHEK1
Synonyms:   CHK1; OZEMA21
Gene ID:   1111
UniProt ID:   O14757
Clone ID:   25GB2815
Immunogen:   A synthesized peptide derived from human Chk1
Dilution:   WB 1:1,000-1:5,000; FC 1:2,000; IC 1:100-1:1,000
Purification Method:   Affinity purified
Concentration:   Lot dependent
Buffer:   PBS with 0.09% Sodium azide, 50% glycerol, pH7.3.
Storage:   Store at -20°C. Avoid freeze/thaw cycles.




Background

The protein CHEK1 encoded by this gene belongs to the Ser/Thr protein kinase family. It is required for checkpoint mediated cell cycle arrest in response to DNA damage or the presence of unreplicated DNA. This protein acts to integrate signals from ATM and ATR, two cell cycle proteins involved in DNA damage responses, that also associate with chromatin in meiotic prophase I. Phosphorylation of CDC25A protein phosphatase by this protein is required for cells to delay cell cycle progression in response to double-strand DNA breaks. Several alternatively spliced transcript variants have been found for this gene.




Images

CHEK1 antibodyWestern blotting analysis using anti-checkpoint kinase 1 antibody (Cat#61554). Total cell lysates (30 μg) from various cell lines were loaded and separated by SDS-PAGE. The blot was incubated with anti-checkpoint kinase 1 antibody (Cat#61554, 1:5,000) and HRP-conjugated goat anti-rabbit secondary antibody (Cat#201, 1:20,000) respectively. Image was developed using NaQ™ ECL Substrate Kit (Cat#716).
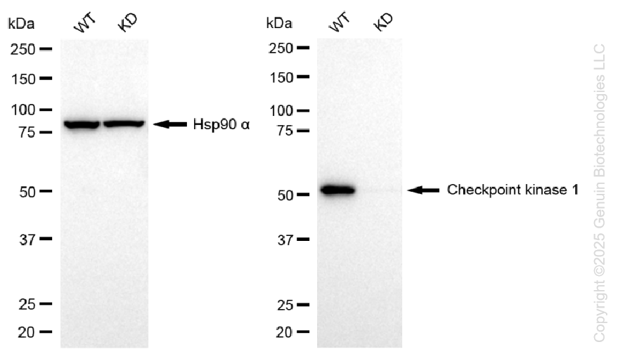
Western blotting analysis using anti-checkpoint kinase 1 antibody (Cat#61554). Checkpoint kinase 1 expression in wild-type (WT) and checkpoint kinase 1 (CHEK1) knockdown (KD) HeLa cells with 20 μg of total cell lysates. Hsp90 α serves as a loading control. The blot was incubated with anti-checkpoint kinase 1 antibody (Cat#61554, 1:5,000) and HRP-conjugated goat anti-rabbit secondary antibody (Cat#201, 1:20,000) respectively. Image was developed using NaQ™ ECL Substrate Kit (Cat#716).
Flow cytometric analysis of Checkpoint kinase 1 expression in HepG2 cells using anti-Checkpoint kinase 1 antibody (Cat#61554, 1:2,000). Green, isotype control; red, Checkpoint kinase 1.
Immunocytochemical staining of HepG2 cells with anti-Checkpoint kinase 1 antibody (Cat#61554, 1:1,000). Nuclei were stained blue with DAPI; Checkpoint kinase 1 was stained magenta with Alexa Fluor® 647. Images were taken using Leica stellaris 5. Protein abundance based on laser Intensity and smart gain: Medium. Scale bar, 20 μm.



You may also be interested in:

Be the first to write a review for this product.

Write a review

Note: HTML is not translated!
Bad           Good
Size Chart
KD-Validated CHEK1 Rabbit mAb (20 μl)

KD-Validated CHEK1 Rabbit mAb (20 μl)

$149.00