Anti-Vimentin Mouse mAb (50 μl)
Your shopping cart is empty!
Product Description
| Reactivity: | Human |
| Applications: | IHC/IF |
| Host Species: | Mouse |
| Clonality: | Monoclonal |
| Full Name: | Vimentin |
Gene ID: |
7431 |
Immunogen: |
Synthesized peptide derived from human Vimentin |
Uniprot ID: |
P08670 |
Source: |
Mouse/IgG2b, Kappa |
Concentration: |
1 mg/ml |
Purity: |
The antibody was affinity-purified from mouse ascites by affinity-chromatography using specific immunogen. |
Product Usage Information
IHC/IF |
Human |
1: 200-1: 500 |
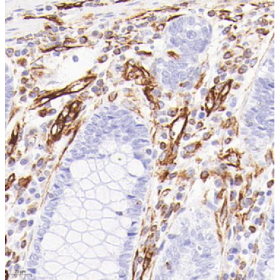
colon cancer, renal carcinoma |
Background
Vimentin, also named as VIM, belongs to the intermediate filament family. Vimentin is class-III intermediate filaments found in various non-epithelial cells, especially mesenchymal cells. Vimentin is important for stabilizing the architecture of the cytoplasm. Monocyte-derived macrophages secrete vimentin into the extracellular space in vitro. Secretion of vimentin was enhanced by the proinflammatory cytokine tumor necrosis factor-alpha (TNFA; 191160) and inhibited by the antiinflammatory cytokine IL10 (124092), suggesting that vimentin is involved in the immune response. Vimentin has specialized functions that contribute to specific dynamic cellular processes. As a phosphoprotein, 55-60 kDa of vimentin proteins can be observed due to the different phosphorylation level. Isoforms of vimentin (49 kDa and 60 kDa) had also been reported.
Images
|
Immunohistochemistry analysis of paraffin embedded human colon cancer using vimentin (GB14167) at dilution of 1: 200 |
|
Immunohistochemistry analysis of paraffin embedded human renal carcinoma using vimentin (GB14167) at dilution of 1: 200 |
Storage
| Storage | Store at -20 ℃ for one year. Avoid repeated freeze/thaw cycles. |
| Storage Buffer | Liquid in PBS containing 50% glycerol, 0.5% BSA and 0.02% sodium azide. |


