Anti-ACP5 Mouse mAb (50 μl)
Your shopping cart is empty!
Product Description
| Reactivity: | H |
| Applications: | IHC/IF |
| Host Species: | Mouse |
| Clonality: | Monoclonal |
| Gene Name: | Tartrate-resistant acid phosphatase type 5 (TR-AP) (EC 3.1.3.2) (Tartrate-resistant acid ATPase) (TrATPase) (Type 5 acid phosphatase) |
Gene ID: | 54 |
Immunogen: | Synthesized peptide derived from human TRAP |
Uniprot ID: | P13686 |
Source: | Mouse/IgG1, Kappa |
Concentration: | 1 mg/ml |
Purity: | The antibody was affinity-purified from mouse ascites by affinity-chromatography using specific immunogen. |
Product Usage Information
IHC/IF | Human | 1: 200-1: 500 | lung |
Background
acid phosphatase 5, tartrate resistant(ACP5) Homo sapiens This gene encodes an iron containing glycoprotein which catalyzes the conversion of orthophosphoric monoester to alcohol and orthophosphate. It is the most basic of the acid phosphatases and is the only form not inhibited by L(+)-tartrate. [provided by RefSeq, Aug 2008],
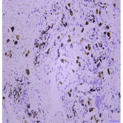
Images
![]() | Immunohistochemistry analysis of paraffin embedded human lung using Tartrate Resistant Acid Phosphatase (GB14161) at dilution of 1: 200Immunohistochemistry analysis of paraffin embedded human lung using Tartrate Resistant Acid Phosphatase (GB14161) at dilution of 1: 200 |
Storage
| Storage | Store at -20 °C for one year. Avoid repeated freeze/thaw cycles. |
| Storage Buffer | Liquid in PBS containing 50% glycerol, 0.5% BSA and 0.02% sodium azide. |

