Anti-Ki67 Rabbit pAb (100 μl)
Your shopping cart is empty!
Product Description
| Reactivity: | Human, Mouse, Rat |
| Applications: | IHC/IF & ICC/IF |
| Host Species: | Rabbit |
| Clonality: | Polyclonal |
| Gene Name: | marker of proliferation Ki-67 |
| Gene Symbol: | MKI67 |
| Synonyms: | KIA; MIB-; MIB-1; PPP1R105 |
| Gene ID: | 4288 |
| Uniprot ID: | P46013 |
| Immunogen: | KLH conjugated Synthetic peptide corresponding to Human Ki67 |
| Isotype: | IgG |
| Purity: | Affinity purification |
| Subcellular location: | Nucleus |
| Documents: | Manual-MKI67 Antibody |
Product Usage Information
IHC/IF | Human, Mouse, Rat | 1: 400-1: 1000 | colon cancer, esophageal cancer, intestinal cancer |
ICC/IF | Human, Mouse, Rat | 1: 100-1: 500 | HeLa |
Background
Required to maintain individual mitotic chromosomes dispersed in the cytoplasm following nuclear envelope disassembly . Associates with the surface of the mitotic chromosome, the perichromosomal layer, and covers a substantial fraction of the chromosome surface . Prevents chromosomes from collapsing into a single chromatin mass by forming a steric and electrostatic charge barrier: the protein has a high net electrical charge and acts as a surfactant, dispersing chromosomes and enabling independent chromosome motility .
Images
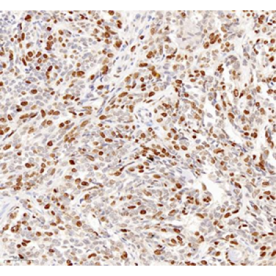
![]() | IHC analysis of KI67 (GB111499). Sample: Human colon cancer (Paraffin), 4% PFA (G1101) 12-24h. Antigen retrieval: Citrate buffer (pH 6.0) (G1201), pressure cooker 2min. Blocking buffer: 3% BSA in PBS (GC305010), RT, 30min. Primary antibody: 1: 500, 4°C overnight. Secondary antibody: HRP Goat Anti-Rabbit lgG (GB23303), 1: 200 RT 1h. |
![]() | IHC analysis of KI67 (GB111499). Sample: Human esophageal cancer (Paraffin), 4% PFA (G1101) 12-24h. Antigen retrieval: Citrate buffer (pH 6.0) (G1201), pressure cooker 2min. Blocking buffer: 3% BSA in PBS (GC305010), RT, 30min. Primary antibody: 1: 500, 4°C overnight. Secondary antibody: HRP Goat Anti-Rabbit lgG (GB23303), 1: 200 RT 1h. |
![]() | IHC analysis of ki67 (GB111499). Sample: Mouse ovary (Paraffin), 4% PFA (G1101) 12-24h. Antigen retrieval: Citrate buffer (pH 6.0) (G1201), pressure cooker 2min. Blocking buffer: 3% BSA in PBS (GC305010), RT, 30min. Primary antibody: 1: 500, 4°C overnight. Secondary antibody: HRP Goat Anti-Rabbit lgG (GB23303), 1: 200 RT 1h. |
![]() | IHC analysis of KI67 (GB111499). Sample: Rat small intestine (Paraffin), 4% PFA (G1101) 12-24h. Antigen retrieval: Citrate buffer (pH 6.0) (G1201), pressure cooker 2min. Blocking buffer: 3% BSA in PBS (GC305010), RT, 30min. Primary antibody: 1: 500, 4°C overnight. Secondary antibody: HRP Goat Anti-Rabbit lgG (GB23303), 1: 200 RT 1h. |
![]() | IF analysis of ki67 (GB111499). Sample: Human esophagus (Paraffin), 4% PFA (G1101) 12-24h. Antigen retrieval: TE buffer (pH 9.0) (G1203),98°C,20min. Blocking buffer: 3% BSA in PBS (GC305010), RT, 30min. Primary antibody: 1: 400, 4°C overnight. Secondary antibody: Cy3 conjugated Goat Anti-Rabbit IgG (H+L) (GB21303), 1: 300 RT, 1h. |
![]() | IF analysis of ki67 (GB111499). Sample: Human intestinal cancer (Paraffin), 4% PFA (G1101) 12-24h. Antigen retrieval: TE buffer (pH 9.0) (G1203),98°C,20min. Blocking buffer: 3% BSA in PBS (GC305010), RT, 30min. Primary antibody: 1: 800, 4°C overnight. Secondary antibody: Cy3 conjugated Goat Anti-Rabbit IgG (H+L) (GB21303), 1: 300 RT, 1h. |
![]() | IF analysis of ki67 (GB111499). Sample: Rat spleen (Paraffin), 4% PFA (G1101) 12-24h. Antigen retrieval: TE buffer (pH 9.0) (G1203),98°C,20min. Blocking buffer: 3% BSA in PBS (GC305010), RT, 30min. Primary antibody: 1: 800, 4°C overnight. Secondary antibody: Cy3 conjugated Goat Anti-Rabbit IgG (H+L) (GB21303), 1: 300 RT, 1h. |
![]() | ICC analysis of ki67 (GB111499). Sample: HeLa, 4% PFA (G1101) 20min. Antigen retrieval: 0.5% Triton X-100 (G1204), RT, 15 min. Blocking buffer: 3% BSA in PBS (GC305010), RT, 30min. Primary antibody: 1: 200, 4°C overnight. Secondary antibody: Cy3 conjugated Goat Anti-Rabbit IgG (H+L) (GB21303), 1: 300, RT, 1h. |
![]() | ICC analysis of ki67 (GB111499). Sample: NIH3T3, 4% PFA (G1101) 20min. Antigen retrieval: 0.5% Triton X-100 (G1204), RT, 15 min. Blocking buffer: 3% BSA in PBS (GC305010), RT, 30min. Primary antibody: 1: 200, 4°C overnight. Secondary antibody: Cy3 conjugated Goat Anti-Rabbit IgG (H+L) (GB21303), 1: 300, RT, 1h. |
![]() | ICC analysis of ki67 (GB111499). Sample: HeLa, 4% PFA (G1101) 20min. Antigen retrieval: 0.5% Triton X-100 (G1204), RT, 15 min. Blocking buffer: 3% BSA in PBS (GC305010), RT, 30min. Primary antibody: GB111499 ki67(green) 1:200,4°C overnight; GB12200 alpha Tubulin(red) 1:400,4°C overnight. Secondary antibody: Alexa Fluor 488 conjugated Goat Anti-Rabbit IgG (H+L) (GB25303), 1: 300 RT, 1h; Cy3 conjugated Goat Anti-Mouse IgG (H+L) (GB21301), 1: 300 RT, 1h. |
Storage
| Storage | Store at -20 °C for one year. Avoid repeated freeze/thaw cycles. |
| Storage Buffer | PBS with 0.02%sodium azide,100 μg/ml BSA and 50% glycerol. |
You may also be interested in:










