Anti-Collagen I Rabbit pAb (100 μl)
Your shopping cart is empty!
Product Description
| Reactivity: | H,M,R |
| Applications: | IHC/IF |
| Host Species: | Rabbit |
| Clonality: | Polyclonal |
| Full Name: | Collagen I rabbit polyclonal antibody |
Gene Name: | Collagen alpha-1(I) chain |
Synonyms: | COL1A1, EDSC, OI1, OI2, OI3, OI4, collagen type I alpha 1, collagen type I alpha 1 chain |
Isotype: | IgG |
Immunogen: | Recombinant protein corresponding to Mouse COL1A1 |
Purity: | Affinity purification |
Subcellular location: | Secreted |
Product Usage Information
Applications | Species | Dilution | Positive Sample |
IHC/IF | Human, Mouse, Rat | 1:800-1:1600 | BDL model liver, kidney, liver cirrhosis, lung, skin |
Background
The gene COL1A1 encodes the pro-alpha1 chains of type I collagen whose triple helix comprises two alpha1 chains and one alpha2 chain. Type I is a fibril-forming collagen found in most connective tissues and is abundant in bone, cornea, dermis and tendon. Mutations in this gene are associated with osteogenesis imperfecta types I-IV, Ehlers-Danlos syndrome type VIIA, Ehlers-Danlos syndrome Classical type, Caffey Disease and idiopathic osteoporosis.
Images
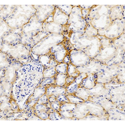
![]() | Immunohistochemistry of paraffin embedded human kidney using collagen I (GB11022-3) at dilution of 1:800 (200x lens) |
| Immunohistochemistry of paraffin embedded mouse skin using collagen I (GB11022-3) at dilution of 1:800 (200x lens) |
| Immunohistochemistry of paraffin embedded mouse liver cirrhosis using collagen I (GB11022-3) at dilution of 1:800 (300x lens) |
| Immunohistochemistry of paraffin embedded rat lung using collagen I (GB11022-3) at dilution of 1:800 (200x lens) |
| Immunohistochemistry analysis of paraffin-embedded rat fibrosis liver using Collagen I (GB11022-3) at dilution of 1: 1600 |
![]() | Immunofluorescence of paraffin embedded mouse BDL model liver using Collagen I (GB11022-3) at dilution of 1:1500 (200x lens) |
Storage
| Storage | Store at -20 °C for one year. Avoid repeated freeze/ thaw cycles. |
| Storage Buffer | PBS with 0.02% sodium azide, 100 μg/ml BSA and 50% glycerol. |






