Anti-MRC1 Rabbit pAb (100 μl)
Your shopping cart is empty!
Product Description
| Reactivity: | M |
| Applications: | IHC/IF |
| Host Species: | Rabbit |
| Clonality: | Polyclonal |
| Gene Name: | Macrophage mannose receptor 1 |
Synonyms: | CD206, CLEC13D, Macrophage mannose receptor 1, Mannose receptor, mannose receptor, C type 1, MMR, MRC1 |
Gene ID: | 17533 |
Uniprot ID: | Q61830 |
Immunogen: | KLH conjugated Synthetic peptidecorresponding to Mouse Mannose Receptor |
Isotype: | IgG |
Purity: | Affinity purification |
Subcellular location: | Cell membrane, Endosome |
Product Usage Information
IHC/IF | Mouse | 1: 400-1: 800 | lung+lps |
Background
CD206, also named as MMR, CLEC13D and MRC1, is a type I membrane receptor that mediates the endocytosis of glycoproteins by macrophages. CD206 has been shown to bind high-mannose structures on the surface of potentially pathogenic viruses, bacteria, and fungi so that they can be neutralized by phagocytic engulfment. CD206 is a 170 kDa transmembrane glycoprotein which contains 5 domains: an amino-terminal cysteine-rich region, a fibronectin type II repeat, a series of eight tandem lectin-like carbohydrate recognition domains (responsible for the recognition of mannose and fucose), a transmembrane domain, and an intracellular carboxy-terminal tail.
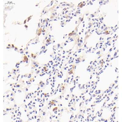
Images
| IHC analysis of CD206 (GB113497). Sample: Mouse lps 24h lung (Paraffin), 4% PFA (G1101) 12-24h. Antigen retrieval: Citrate buffer (pH 6.0) (G1201),98°C,20 min. Blocking buffer: 3% BSA in PBS (GC305010), RT, 30min. Primary antibody: 1: 400, 4°C overnight. Secondary antibody: HRP Goat Anti-Rabbit lgG (GB23303), 1: 200 RT 1h. |
| IF analysis of C931 (GB113497). Sample: Mouse lps 24h lung (Paraffin), 4% PFA (G1101) 12-24h. Antigen retrieval: TE buffer (pH 9.0) (G1203),98°C,20min. Blocking buffer: 3% BSA in PBS (GC305010), RT, 30min. Primary antibody: 1: 500, 4°C overnight. Secondary antibody: Cy3 conjugated Goat Anti-Rabbit IgG (H+L) (GB21303), 1: 300 RT, 1h. |
Storage
| Storage | Store at -20 °C for one year. Avoid repeated freeze/thaw cycles. |
| Storage Buffer | PBS with 0.02%sodium azide,100 μg/ml BSA and 50% glycerol. |


