Anti-CD68 Rabbit pAb (100 μl)
Your shopping cart is empty!
Product Description
| Reactivity: | M,R |
| Applications: | IHC/IF |
| Host Species: | Rabbit |
| Clonality: | Polyclonal |
| Gene Name: | Macrosialin |
Synonyms: | CD68, CD68 Molecule, Scavenger Receptor |
Immunogen: | Recombinant protein corresponding to Human CD68 |
Uniprot ID: | P34810 |
Isotype: | IgG |
Purity: | Affinity purification |
Subcellular location: | Cell membrane, Endosome, Lysosome |
Product Usage Information
IHC/IF | Human | 1: 500-1: 1000 | lung cancer, lung, tonsil, ovarian cancer |
Background
Could play a role in phagocytic activities of tissue macrophages, both in intracellular lysosomal metabolism and extracellular cell-cell and cell-pathogen interactions. Binds to tissue- and organ-specific lectins or selectins, allowing homing of macrophage subsets to particular sites. Rapid recirculation of CD68 from endosomes and lysosomes to the plasma membrane may allow macrophages to crawl over selectin-bearing substrates or other cells.
Images
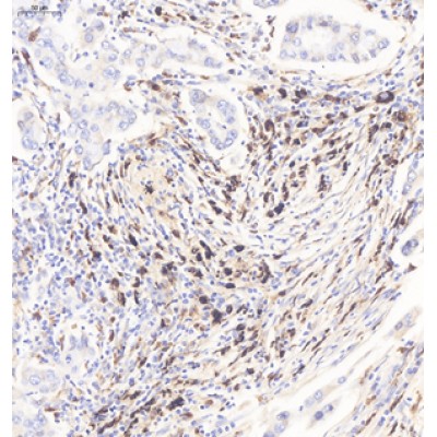
| IHC analysis of CD68 (GB113150). Sample: Human lung cancer (Paraffin), 4% PFA (G1101) 12-24h. Antigen retrieval: Citrate buffer (pH 6.0) (G1201),98°C,20 min. Blocking buffer: 3% BSA in PBS (GC305010), RT, 30min. Primary antibody: 1: 500, 4°C overnight. Secondary antibody: HRP Goat Anti-Rabbit lgG (GB23303), 1: 200 RT 1h. |
| IHC analysis of CD68 (GB113150). Sample: Human ovarian cancer (Paraffin), 4% PFA (G1101) 12-24h. Antigen retrieval: Citrate buffer (pH 6.0) (G1201),98°C,20 min. Blocking buffer: 3% BSA in PBS (GC305010), RT, 30min. Primary antibody: 1: 500, 4°C overnight. Secondary antibody: HRP Goat Anti-Rabbit lgG (GB23303), 1: 200 RT 1h. |
| IHC analysis of CD68 (GB113150). Sample: Human lung (Paraffin), 4% PFA (G1101) 12-24h. Antigen retrieval: Citrate buffer (pH 6.0) (G1201),98°C,20 min. Blocking buffer: 3% BSA in PBS (GC305010), RT, 30min. Primary antibody: 1: 500, 4°C overnight. Secondary antibody: HRP Goat Anti-Rabbit lgG (GB23303), 1: 200 RT 1h. |
| IHC analysis of CD68 (GB113150). Sample: Human tonsil (Paraffin), 4% PFA (G1101) 12-24h. Antigen retrieval: Citrate buffer (pH 6.0) (G1201),98°C,20 min. Blocking buffer: 3% BSA in PBS (GC305010), RT, 30min. Primary antibody: 1: 500, 4°C overnight. Secondary antibody: HRP Goat Anti-Rabbit lgG (GB23303), 1: 200 RT 1h. |
| IF analysis of CD68 (GB113150). Sample: Human lung (Paraffin), 4% PFA (G1101) 12-24h. Antigen retrieval: TE buffer (pH 9.0) (G1203),98°C,20min. Blocking buffer: 3% BSA in PBS (GC305010), RT, 30min. Primary antibody: 1: 500, 4°C overnight. Secondary antibody: Alexa Fluor® 488-conjugated Goat Anti-Rabbit IgG (H+L) (GB25303), 1: 300 RT, 1h. |
Storage
| Storage | Store at -20 °C for one year. Avoid repeated freeze/thaw cycles. |
| Storage Buffer | PBS with 0.02%sodium azide,100 μg/ml BSA and 50% glycerol. |





