Anti-CD3 Rabbit pAb (100 μl)
Your shopping cart is empty!
Product Description
| Reactivity: | H,M,R & H,M,R |
| Applications: | WB & IHC/IF |
| Host Species: | Rabbit |
| Clonality: | Polyclonal |
| Gene Name: | T-cell surface glycoprotein CD3 epsilon chain |
Synonyms: | CD3E, IMD18, T3E, TCRE, CD3e molecule |
Immunogen: | KLH conjugated Synthetic peptide corresponding to Mouse CD3 |
Uniprot ID: | P22646 |
Isotype: | IgG |
Purity: | Affinity purification |
Subcellular location: | Cell membrane |
Predicted MW. / Observed MW. | 21 kDa / 21 kDa |
Product Usage Information
Applications | Species | Dilution | Positive Sample |
WB | Human, Mouse, Rat | 1:500-1:1000 | thymus, lymph node |
IHC/IF | Human, Mouse, Rat | 1:250-1:1000 | spleen, splenitis, tonsil |
Background
The protein encoded by this gene is the CD3-epsilon polypeptide, which together with CD3-gamma, -delta and -zeta, and the T-cell receptor alpha/beta and gamma/delta heterodimers, forms the T cell receptor-CD3 complex. This complex plays an important role in coupling antigen recognition to several intracellular signal-transduction pathways. The genes encoding the epsilon, gamma and delta polypeptides are located in the same cluster on chromosome 11. The epsilon polypeptide plays an essential role in T-cell development.
Images
| Western blot analysis of CD3 (GB11014) at dilution of 1: 500 |
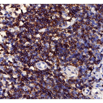
![]() | Immunohistochemistry of paraffin embedded human tonsil using CD3 (GB11014) at dilution of 1: 1000 (400x lens) |
![]() | Immunohistochemistry of paraffin embedded mouse spleen using CD3 (GB11014) at dilution of 1: 1000 (400x lens) |
![]() | Immunohistochemistry of paraffin embedded mouse splenitis using CD3 (GB11014) at dilution of 1: 1000 (400x lens) |
![]() | Immunohistochemistry of paraffin embedded rat spleen using CD3 (GB11014) at dilution of 1: 1000 (400x lens) |
![]() | Immunofluorescence of paraffin embedded human tonsil using CD3 (GB11014) at dilution of 1: 500 (200x lens) |
![]() | Immunofluorescence of paraffin embedded human tonsil using CD3 (GB11014) at dilution of 1: 500 (400x lens) |
![]() | Immunofluorescence of paraffin embedded mouse spleen using CD3 (GB11014) at dilution of 1: 500 (400x lens) |
Storage
| Storage | Store at -20 °C for one year. Avoid repeated freeze/ thaw cycles. |
| Storage Buffer | PBS with 0.02% sodium azide, 100μg/ml BSA and 50% glycerol. |








