Anti-Osteocalcin Rabbit pAb (100 μl)
Your shopping cart is empty!
Product Description
| Reactivity: | M,R |
| Applications: | IHC/IF |
| Host Species: | Rabbit |
| Clonality: | Polyclonal |
| Full Name: | Osteocalcin rabbit polyclonal |
Gene Name: | Osteocalcin |
Synonyms: | BGLAP, BGP, OC, OCN, Osteocalcin, bone gamma-carboxyglutamate protein |
Uniprot ID: | |
Immunogen: | KLH conjugated Synthetic peptide corresponding to Mouse Osteocalcin |
Isotype: | IgG |
Purity: | Affinity purification |
Subcellular location: | Secreted |
Product Usage Information
IHC/IF | Mouse, Rat | 1: 100-1: 500 | injured bone, bone |
Background
Osteocalcin is secreted solely by osteoblasts and thought to play a role in the body's metabolic regulation and is pro-osteoblastic, or bone-building, by nature. It is also implicated in bone mineralization and calcium ion homeostasis. Osteocalcin acts as a hormone in the body, causing beta cells in the pancreas to release more insulin, and at the same time directing fat cells to release the hormone adiponectin, which increases sensitivity to insulin. Osteocalcin acts on Leydig cells of the testis to stimulate testosterone biosynthesis and therefore affectmale fertility. Osteocalcin also acts on myocytes to promote energy availability and utilization and in this manner favors exercise capacity.
Images
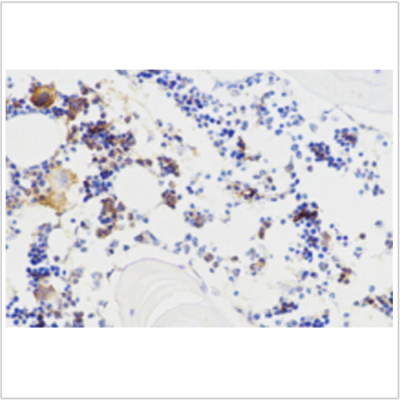
| IHC analysis of OCN (GB11233). Sample: Mouse bone (Paraffin), 4% PFA (G1101) 12-24h. Antigen retrieval: Pepsin Antigen Repair Solution,37°C,30min. Blocking buffer: 3% BSA in PBS (GC305010), RT, 30min. Primary antibody: 1: 100, 4°C overnight. Secondary antibody: HRP Goat Anti-Rabbit lgG (GB23303), 1: 200 RT 1h. |
![]() | IHC analysis of OCN (GB11233). Sample: Mouse bone (Paraffin), 4% PFA (G1101) 12-24h. Antigen retrieval: Pepsin Antigen Repair Solution,37°C,30min. Blocking buffer: 3% BSA in PBS (GC305010), RT, 30min. Primary antibody: 1: 100, 4°C overnight. Secondary antibody: HRP Goat Anti-Rabbit lgG (GB23303), 1: 200 RT 1h. |
| IF analysis of OCN (GB11233). |
| IF analysis of OCN (GB11233). |
Storage
| Storage | Store at -20 °C for one year. Avoid repeated freeze/ thaw cycles. |
| Storage Buffer | PBS with 0.02% sodium azide, 100 μg/ml BSA and 50% glycerol. |




