Recombinant Anti-CD4 Rabbit mAb (100 μl)
Your shopping cart is empty!
Product Description
| Reactivity: | Mouse |
| Applications: | WB, IHC/IF |
| Host Species: | Rabbit |
| Clonality: | Monoclonal |
| Gene Name: | CD4 molecule |
| Gene Symbol: | CD4 |
| Synonyms: | T4; IMD79; Leu-3; OKT4D; CD4mut |
| Immunogen: | KLH conjugated Synthetic peptide corresponding to Mouse CD4 |
| Uniprot ID: | P06332 |
| Isotype: | IgG |
| Purity: | Affinity purification |
| Subcellular location: | Cell membrane |
| Documents: | Manual-CD4 Antibody |
Product Usage Information
WB | Mouse | 1: 500-1: 1000 | thymus, lymph Node, spleen |
IHC/IF | Mouse | 1: 200-1: 600 | acute lung injury, lewis lung cancer ectopic subcutaneous tumor, inflamed skin, spleen |
Background
The gene CD4 encodes the CD4 membrane glycoprotein of T lymphocytes. The CD4 antigen acts as a coreceptor with the T-cell receptor on the T lymphocyte to recognize antigens displayed by an antigen presenting cell in the context of class II MHC molecules. The CD4 antigen is also a primary receptor for entry of the human immunodeficiency virus through interactions with the HIV Env gp120 subunit. This gene is expressed not only in T lymphocytes, but also in B cells, macrophages, granulocytes, as well as in various regions of the brain. The protein functions to initiate or augment the early phase of T-cell activation, and may function as an important mediator of indirect neuronal damage in infectious and immune-mediated diseases of the central nervous system. Multiple alternatively spliced transcript variants encoding different isoforms have been identified in this gene.
Images
![]() | Western blot analysis of CD4 (GB15064) at dilution of 1: 500 |
![]() | Immunohistochemistry analysis of paraffin embedded mouse lewis lung cancer ectopic subcutaneous tumor using CD4 (GB15064) at dilution of 1: 200 |
![]() | Immunohistochemistry analysis of paraffin embedded mouse lewis lung cancer ectopic subcutaneous tumor using CD4 (GB15064) at dilution of 1: 400 |
![]() | Immunohistochemistry analysis of paraffin embedded mouse lung from acute lung injury using CD4 (GB15064) at dilution of 1: 400 |
![]() | Immunohistochemistry analysis of paraffin embedded mouse inflamed skin using CD4 (GB15064) at dilution of 1: 400 |
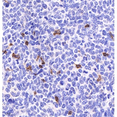
![]() | Immunohistochemistry analysis of paraffin embedded mouse spleen using CD4 (GB15064) at dilution of 1: 200 |
![]() | Immunohistochemistry analysis of paraffin embedded mouse spleen using CD4 (GB15064) at dilution of 1: 200 |
Storage
| Storage | Store at -20 °C for one year. Avoid repeated freeze/thaw cycles. |
| Storage Buffer | PBS with 0.02%sodium azide,100 μg/ml BSA and 50% glycerol. |
Publications
Xue, H., et al. Wearable flexible ultrasound microneedle patch for cancer immunotherapy. Nat Commun16,2650(2025). PMID 40102412, IF 14.7
Du Q., et al. Acylglycerol kinase inhibits macrophage anti-tumor activity via limiting mtDNA release and cGAS-STING-type I IFN response. Theranostics15,1304-1319(2025). PMID 39816692, IF 12.4
Zai, W., et al. Optimized RNA interference therapeutics combined with interleukin-2 mRNA for treating hepatitis B virus infection. Signal Transduct Target Ther9,150(2024). PMID 38902241, IF 40.8
You may also be interested in:







