Anti-GFAP Mouse mAb (100 μl)
Your shopping cart is empty!
Product Description
| Reactivity: | M,R & M,R |
| Applications: | WB & IHC/IF |
| Host Species: | Mouse |
| Clonality: | Monoclonal |
| Gene Name: | Glial fibrillary acidic protein |
Synonyms: | GFAP, ALXDRD, glial fibrillary acidic protein |
Immunogen: | KLH conjugated Synthetic peptide corresponding to Mouse GFAP |
Uniprot ID: | P03995 |
Isotype: | IgG1,κ |
Purity: | Affinity purification |
Subcellular location: | Cytoplasm |
Predicted MW. / Observed MW. | 49 kDa / 49 kDa |
Product Usage Information
WB | Mouse, Rat | 1: 500-1: 5000 | brain, cerebral cortex, spinal cord |
IHC/IF | Mouse, Rat | 1: 500-1: 2000 | brain |
Background
Glial fibrillary acidic protein (GFAP) is an intermediate filament (IF) protein that is expressed by numerous cell types of the central nervous system (CNS) including astrocytes and ependymal cells. GFAP has also been found to be expressed in glomeruli and peritubular fibroblasts taken from rat kidneys Leydig cells of the testis in both hamsters and humans, human keratinocytes, human osteocytes and chondrocytes and stellate cells of the pancreas and liver in rats. It is closely related to its non-epithelial family members, vimentin, desmin, and peripherin, which are all involved in the structure and function of the cell’s cytoskeleton.
Images
| WB analysis of GFAP (GB12096). Sample: Protein treated by RIPA Lysis Buffer (G2002). Blocking buffer: 3% Nonfat dry milk (GC310001) in TBST, RT, 1h. Primary antibody: 1: 1000, 4°C overnight. Secondary antibody: HRP Goat Anti-Mouse lgG (GB23301), 1: 3000, RT, 1h. |
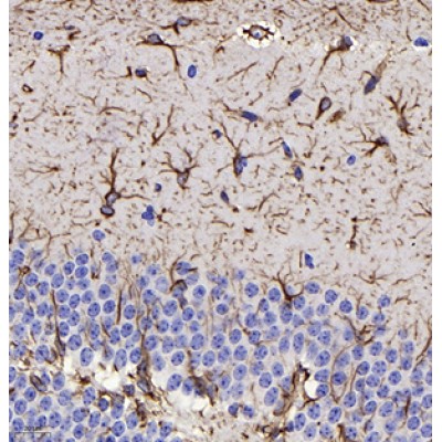
| IHC analysis of GFAP (GB12096). Sample: Mouse brain (Paraffin), 4% PFA (G1101) 12-24h. Antigen retrieval: Citrate buffer (pH 6.0) (G1201),98°C,20 min. Blocking buffer: 3% BSA in PBS (GC305010), RT, 30min. Primary antibody: 1: 600, 4°C overnight. Secondary antibody: HRP Goat Anti-Mouse lgG (GB23301), 1: 200 RT 1h. |
| IHC analysis of GFAP (GB12096). Sample: Rat brain (Paraffin), 4% PFA (G1101) 12-24h. Antigen retrieval: Citrate buffer (pH 6.0) (G1201),98°C,20 min. Blocking buffer: 3% BSA in PBS (GC305010), RT, 30min. Primary antibody: 1: 600, 4°C overnight. Secondary antibody: HRP Goat Anti-Mouse lgG (GB23301), 1: 200 RT 1h. |
| IF analysis of GFAP (GB12096). Sample: Mouse brain (Paraffin), 4% PFA (G1101) 12-24h. Antigen retrieval: Citrate buffer (pH 6.0) (G1201),98°C,20 min. Blocking buffer: 3% BSA in PBS (GC305010), RT, 30min. Primary antibody: 1: 1000, 4°C overnight. Secondary antibody: Cy3 conjugated Goat Anti-mouse IgG (H+L)(GB21301),1: 200 RT 1h. |
| IF analysis of GFAP (GB12096). Sample: Rat brain (Paraffin), 4% PFA (G1101) 12-24h. Antigen retrieval: Citrate buffer (pH 6.0) (G1201),98°C,20 min. Blocking buffer: 3% BSA in PBS (GC305010), RT, 30min. Primary antibody: 1: 1000, 4°C overnight. Secondary antibody: Cy3 conjugated Goat Anti-mouse IgG (H+L)(GB21301),1: 200 RT 1h. |
| IF analysis of GFAP (GB12096). Sample: Rat brain (Paraffin), 4% PFA (G1101) 12-24h. Antigen retrieval: Citrate buffer (pH 6.0) (G1201),98°C,20 min. Blocking buffer: 3% BSA in PBS (GC305010), RT, 30min. Primary antibody: 1: 1000, 4°C overnight. Secondary antibody: Cy3 conjugated Goat Anti-mouse IgG (H+L)(GB21301),1: 200 RT 1h. |
Storage
| Storage | Store at -20 °C for one year. Avoid repeated freeze/ thaw cycles. |
| Storage Buffer | PBS with 0.02% sodium azide, 100 μg/ml BSA and 50% glycerol. |






