Anti-Collagen II Rabbit pAb (100 μl)
Your shopping cart is empty!
Product Description
| Reactivity: | H,M,R & M,R |
| Applications: | WB & IHC/IF |
| Host Species: | Rabbit |
| Clonality: | Polyclonal |
| Full Name: | Collagen II rabbit polyclonal |
Gene Name: | Collagen alpha-1(II) chain |
Synonyms: | COL2A1, ANFH, AOM, COL11A3, SEDC, STL1, collagen type II alpha 1, collagen type II alpha 1 chain |
Uniprot ID: | |
Immunogen: | Recombinant protein corresponding to Mouse COL2A1 |
Isotype: | IgG |
Predicted MW. | 142 kDa |
Observed MW. | 180 kDa |
Purity: | Affinity purification |
Subcellular location: | Secreted |
Product Usage Information
WB | Human, Mouse, Rat | 1: 500-1: 2000 | fibrotic liver, cartilage, skin |
IHC/IF | Mouse, Rat | 1: 100-1: 500 | bone |
Background
Type II collagen is specific for cartilaginous tissues. It is essential for the normal embryonic development of the skeleton, for linear growth and for the ability of cartilage to resist compressive forces.
Images
| WB analysis of CollagenII (GB11021). Sample: Protein treated by RIPA Lysis Buffer (G2002). Blocking buffer: 3% Nonfat dry milk (GC310001) in TBST, RT, 1h. Primary antibody: 1: 1000, 4°C overnight. Secondary antibody: HRP Goat Anti-Rabbit lgG (GB23303), 1: 3000, RT, 1h. |
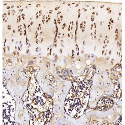
| IHC analysis of collagen II (GB11021). Sample: Rat bone (Paraffin), 4% PFA (G1101) 12-24h. Antigen retrieval: Citrate buffer (pH 6.0) (G1201),98°C,20 min. Blocking buffer: 3% BSA in PBS (GC305010), RT, 30min. Primary antibody: , 4°C overnight. Secondary antibody: HRP Goat Anti-Rabbit lgG (GB23303), 1: 200 RT 1h. |
| IF analysis of collagen II (GB11021). Sample: Mouse bone (Paraffin), 4% PFA (G1101) 12-24h. Antigen retrieval: Citrate buffer (pH 6.0) (G1201),98°C,20 min. Blocking buffer: 3% BSA in PBS (GC305010), RT, 30min. Primary antibody: , 4°C overnight. Secondary antibody: Cy3 conjugated Goat Anti-Rabbit IgG (H+L) (GB21303), 1: 300 RT, 1h. |
| IF analysis of collagen II (GB11021). Sample: rat bone (Paraffin), 4% PFA (G1101) 12-24h. Antigen retrieval: Citrate buffer (pH 6.0) (G1201),98°C,20 min. Blocking buffer: 3% BSA in PBS (GC305010), RT, 30min. Primary antibody: , 4°C overnight. Secondary antibody: Cy3 conjugated Goat Anti-Rabbit IgG (H+L) (GB21303), 1: 300 RT, 1h. |
Storage
| Storage | Store at -20 °C for one year. Avoid repeated freeze/ thaw cycles. |
| Storage Buffer | PBS with 0.02% sodium azide, 100 μg/ml BSA and 50% glycerol. |




