Anti-BrdU Mouse mAb (100 μl)
Your shopping cart is empty!
Product Description
| Reactivity: | All species |
| Applications: | IHC/IF |
| Host Species: | Mouse |
| Clonality: | Monoclonal |
| Gene Name: | Bromodeoxyuridine |
| Synonyms: | Bromodeoxyuridine, Bromodeoxyuridine,5-Bromo-2′-deoxyuridine; 5-BrdU, Proliferation Marker; 5-Bromo-2-deoxyUridine |
| Immunogen: | KLH conjugated Synthetic peptide corresponding to Mouse BrdU |
| Isotype: | IgG1,κ |
| Purity: | Affinity purification |
| Subcellular location: | Nucleus |
| Documents: | Manual-BrdU Antibody |
Product Usage Information
IHC/IF | All species | 1: 100-1: 500 | jejunum, neonatal mouse's brain |
Background
Bromodeoxyuridine (5-bromo-2'-deoxyuridine, BrdU, BUdR, BrdUrd) is a synthetic nucleoside that is an analog of thymidine. It can be incorporated into the newly synthesized DNA of replicating cells (during the S phase of the cell cycle), substituting for thymidine during DNA replication. As such, BrdU is used for birth dating and monitoring cell proliferation. BrdU is a toxic and mutagenic substance. It triggers cell death, the formation of teratomas, alters DNA stability, lengthens the cell cycle, and has mitogenic, transcriptional and translational effects on cells that incorporate it.
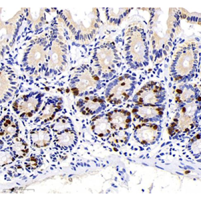
Images
![]() | IHC analysis of Brdu (GB12051). |
![]() | IHC analysis of Brdu (GB12051). |
![]() | IF analysis of Brdu (GB12051). |
Storage
| Storage | Store at -20 °C for one year. Avoid repeated freeze/ thaw cycles. |
| Storage Buffer | PBS with 0.02% sodium azide, 100 μg/ml BSA and 50% glycerol. |
Publications
Li, M., et al. A ROS-responsive hydrogel incorporated with dental follicle stem cell-derived small extracellular vesicles promotes dental pulp repair by ameliorating oxidative stress. Bioact Mater 36,524-540(2024). PMID 39072284, IF 18.9
Zhong, T., et al. A wireless battery-free eye modulation patch for high myopia therapy. Nat Commun 15,1766(2024). PMID 38409083, IF 14.7
Huang, B., et al. Near-infrared-IIb emitting single-atom catalyst for imaging-guided therapy of blood-brain barrier breakdown after traumatic brain injury. Nature Communications 14,197(2023). PMID 36639379, IF 16.6
You may also be interested in:



