Anti-Bax Rabbit pAb (100 μl)
Your shopping cart is empty!
Product Description
| Reactivity: | H,M,R & H,M,R |
| Applications: | WB & IHC/IF |
| Host Species: | Rabbit |
| Clonality: | Polyclonal |
| Full Name: | Bax rabbit polyclonal antibody |
Gene Name: | Apoptosis regulator BAX |
Synonyms: | BAX, BCL2L4, BCL2 associated X protein, BCL2 associated X, Apoptosis regulator BAX, Bcl-2-Like Protein 4,Bcl2-L-4, Bax-protein |
Uniprot ID: | Q07812 |
Immunogen: | KLH conjugated Synthetic peptide corresponding to Human Bax |
Isotype: | IgG |
Purity: | Affinity purification |
Subcellular location: | Mitochondrion, Cytoplasm |
Predicted MW. | 21 kDa |
Observed MW. | 21 kDa |
Product Usage Information
Applications | Species | Dilution | Positive Sample |
WB | Human,Mouse,Rat | 1: 400-1: 800 | spleen |
IHC/IF | Human,Mouse,Rat | 1: 400-1: 800 | kidney, lung, liver, spleen, heart |
Background
Accelerates programmed cell death by binding to, and antagonizing the apoptosis repressor BCL2 or its adenovirus homolog E1B 19k protein. Under stress conditions, undergoes a conformation change that causes translocation to the mitochondrion membrane, leading to the release of cytochrome c that then triggers apoptosis. Promotes activation of CASP3, and thereby apoptosis.
Images
| WB analysis of BAX (GB114122). Sample: Protein treated by RIPA Lysis Buffer (G2002). Blocking buffer: 3% Nonfat dry milk (GC310001) in TBST, RT, 1h. Primary antibody: 1: 800, 4°C overnight. Secondary antibody: HRP Goat Anti-Rabbit lgG (GB23303), 1: 3000, RT, 1h. |
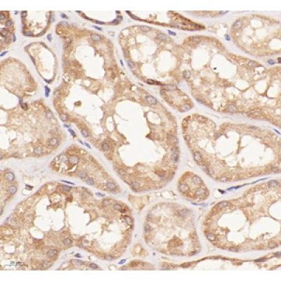
| IHC analysis of BAX (GB114122). Sample: Human kindey (Paraffin), 4% PFA (G1101) 12-24h. Antigen retrieval: Citrate buffer (pH 6.0) (G1201),98°C,20 min. Blocking buffer: 3% BSA in PBS (GC305010), RT, 30min. Primary antibody: 1: 450, 4°C overnight. Secondary antibody: HRP Goat Anti-Rabbit lgG (GB23303), 1: 200 RT 1h. |
| IHC analysis of BAX (GB114122). Sample: Mouse kindey (Paraffin), 4% PFA (G1101) 12-24h. Antigen retrieval: Citrate buffer (pH 6.0) (G1201),98°C,20 min. Blocking buffer: 3% BSA in PBS (GC305010), RT, 30min. Primary antibody: 1: 450, 4°C overnight. Secondary antibody: HRP Goat Anti-Rabbit lgG (GB23303), 1: 200 RT 1h. |
| IHC analysis of BAX (GB114122). Sample: Rat kindey (Paraffin), 4% PFA (G1101) 12-24h. Antigen retrieval: Citrate buffer (pH 6.0) (G1201),98°C,20 min. Blocking buffer: 3% BSA in PBS (GC305010), RT, 30min. Primary antibody: 1: 450, 4°C overnight. Secondary antibody: HRP Goat Anti-Rabbit lgG (GB23303), 1: 200 RT 1h. |
| IHC analysis of BAX (GB114122). Sample: Human colon cancer (Paraffin), 4% PFA (G1101) 12-24h. Antigen retrieval: Citrate buffer (pH 6.0) (G1201),98°C,20 min. Blocking buffer: 3% BSA in PBS (GC305010), RT, 30min. Primary antibody: 1: 450, 4°C overnight. Secondary antibody: HRP Goat Anti-Rabbit lgG (GB23303), 1: 200 RT 1h. |
| IHC analysis of BAX (GB114122). Sample: Human esophageal cancer (Paraffin), 4% PFA (G1101) 12-24h. Antigen retrieval: Citrate buffer (pH 6.0) (G1201),98°C,20 min. Blocking buffer: 3% BSA in PBS (GC305010), RT, 30min. Primary antibody: 1: 450, 4°C overnight. Secondary antibody: HRP Goat Anti-Rabbit lgG (GB23303), 1: 200 RT 1h. |
| IHC analysis of BAX (GB114122). Sample: Human liver cancer (Paraffin), 4% PFA (G1101) 12-24h. Antigen retrieval: Citrate buffer (pH 6.0) (G1201),98°C,20 min. Blocking buffer: 3% BSA in PBS (GC305010), RT, 30min. Primary antibody: 1: 450, 4°C overnight. Secondary antibody: HRP Goat Anti-Rabbit lgG (GB23303), 1: 200 RT 1h. |
| IHC analysis of BAX (GB114122). Sample: Mouse colon (Paraffin), 4% PFA (G1101) 12-24h. Antigen retrieval: Citrate buffer (pH 6.0) (G1201),98°C,20 min. Blocking buffer: 3% BSA in PBS (GC305010), RT, 30min. Primary antibody: 1: 450, 4°C overnight. Secondary antibody: HRP Goat Anti-Rabbit lgG (GB23303), 1: 200 RT 1h. |
| IHC analysis of BAX (GB114122). Sample: Mouse heart (Paraffin), 4% PFA (G1101) 12-24h. Antigen retrieval: Citrate buffer (pH 6.0) (G1201),98°C,20 min. Blocking buffer: 3% BSA in PBS (GC305010), RT, 30min. Primary antibody: 1: 450, 4°C overnight. Secondary antibody: HRP Goat Anti-Rabbit lgG (GB23303), 1: 200 RT 1h. |
| IHC analysis of BAX (GB114122). Sample: Rat lung (Paraffin), 4% PFA (G1101) 12-24h. Antigen retrieval: Citrate buffer (pH 6.0) (G1201),98°C,20 min. Blocking buffer: 3% BSA in PBS (GC305010), RT, 30min. Primary antibody: 1: 450, 4°C overnight. Secondary antibody: HRP Goat Anti-Rabbit lgG (GB23303), 1: 200 RT 1h. |
| IHC analysis of BAX (GB114122). Sample: Rat spleen (Paraffin), 4% PFA (G1101) 12-24h. Antigen retrieval: Citrate buffer (pH 6.0) (G1201),98°C,20 min. Blocking buffer: 3% BSA in PBS (GC305010), RT, 30min. Primary antibody: 1: 450, 4°C overnight. Secondary antibody: HRP Goat Anti-Rabbit lgG (GB23303), 1: 200 RT 1h. |
Storage
| Storage | Store at -20 °C for one year. Avoid repeated freeze/thaw cycles. |
| Storage Buffer | PBS with 0.02%sodium azide,100 μg/ml BSA and 50% glycerol. |











