Anti-MUC2 Rabbit pAb (100 μl)
Your shopping cart is empty!
Product Description
| Reactivity: | H,M,R |
| Applications: | IHC/IF |
| Host Species: | Rabbit |
| Clonality: | Polyclonal |
| Gene Name: | Mucin-2 |
Synonyms: | MUC2, MLP, MUC-2, SMUC, mucin 2, oligomeric mucus/gel-forming, Intestinal mucin 2, MUC 2, Mucin 2 |
Uniprot ID: | Q80Z19 |
Immunogen: | KLH conjugated Synthetic peptide corresponding to Mouse Muc2 |
Isotype: | IgG |
Purity: | Affinity purification |
Subcellular location: | Secreted |
Product Usage Information
IHC/IF | Human, Mouse, Rat | 1: 500-1: 2000 | colon, colon cancer |
Background
The gene MUC2 encodes a member of the mucin protein family. The protein encoded by this gene, also called mucin 2, is secreted onto mucosal surfaces. Mucin 2 is particularly prominent in the gut where it is secreted from goblet cells in the epithelial lining into the lumen of the large intestine. There, mucin 2, along with small amounts of related-mucin proteins, polymerizes into a gel of which 80% by weight is oligosaccharide side-chains that are added as post-translational modifications to the mucin proteins.
Images
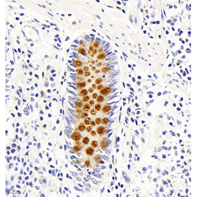
| IHC analysis of MUC2 (GB11344). Sample: Human colon (Paraffin), 4% PFA (G1101) 12-24h. Antigen retrieval: Citrate buffer (pH 6.0) (G1201),98°C,20 min. Blocking buffer: 3% BSA in PBS (GC305010), RT, 30min. Primary antibody: 1: 1000, 4°C overnight. Secondary antibody: HRP Goat Anti-Rabbit lgG (GB23303), 1: 200 RT 1h. |
| IHC analysis of MUC2 (GB11344). Sample: Human colon cancer (Paraffin), 4% PFA (G1101) 12-24h. Antigen retrieval: Citrate buffer (pH 6.0) (G1201),98°C,20 min. Blocking buffer: 3% BSA in PBS (GC305010), RT, 30min. Primary antibody: 1: 1000, 4°C overnight. Secondary antibody: HRP Goat Anti-Rabbit lgG (GB23303), 1: 200 RT 1h. |
| IHC analysis of MUC2 (GB11344). Sample: Mouse colon (Paraffin), 4% PFA (G1101) 12-24h. Antigen retrieval: Citrate buffer (pH 6.0) (G1201),98°C,20 min. Blocking buffer: 3% BSA in PBS (GC305010), RT, 30min. Primary antibody: 1: 1000, 4°C overnight. Secondary antibody: HRP Goat Anti-Rabbit lgG (GB23303), 1: 200 RT 1h. |
| IHC analysis of MUC2 (GB11344). Sample: Rat colon (Paraffin), 4% PFA (G1101) 12-24h. Antigen retrieval: Citrate buffer (pH 6.0) (G1201),98°C,20 min. Blocking buffer: 3% BSA in PBS (GC305010), RT, 30min. Primary antibody: 1: 900, 4°C overnight. Secondary antibody: HRP Goat Anti-Rabbit lgG (GB23303), 1: 200 RT 1h. |
| IF analysis of MUC2 (GB11344). Sample: Human colon (Paraffin), 4% PFA (G1101) 12-24h. Antigen retrieval: TE buffer (pH 9.0) (G1203),98°C,20min. Blocking buffer: 3% BSA in PBS (GC305010), RT, 30min. Primary antibody: 1: 500, 4°C overnight. Secondary antibody: Cy3 conjugated Goat Anti-Rabbit IgG (H+L) (GB21303), 1: 300 RT, 1h. |
| IF analysis of MUC2 (GB11344). Sample: Mouse colon (Paraffin), 4% PFA (G1101) 12-24h. Antigen retrieval: TE buffer (pH 9.0) (G1203),98°C,20min. Blocking buffer: 3% BSA in PBS (GC305010), RT, 30min. Primary antibody: 1: 500, 4°C overnight. Secondary antibody: Cy3 conjugated Goat Anti-Rabbit IgG (H+L) (GB21303), 1: 300 RT, 1h. |
| IF analysis of MUC2 (GB11344). Sample: Rat colon (Paraffin), 4% PFA (G1101) 12-24h. Antigen retrieval: TE buffer (pH 9.0) (G1203),98°C,20min. Blocking buffer: 3% BSA in PBS (GC305010), RT, 30min. Primary antibody: 1: 500, 4°C overnight. Secondary antibody: Cy3 conjugated Goat Anti-Rabbit IgG (H+L) (GB21303), 1: 300 RT, 1h. |
Storage
| Storage | Store at -20 °C for one year. Avoid repeated freeze/ thaw cycles. |
| Storage Buffer | PBS with 0.02% sodium azide, 100 μg/ml BSA and 50% glycerol. |







