Anti-Phospho-H2A.X (S139) Rabbit pAb (100 μl)
Your shopping cart is empty!
Product Description
| Reactivity: | H,M,R & H,M,R & H,M,R |
| Applications: | WB & IHC & ICC/IF |
| Host Species: | Rabbit |
| Clonality: | Polyclonal |
| Full Name: | Phospho-H2A.X (S139) rabbit polyclonal |
Gene Name: | Histone H2AX |
Synonyms: | H2a/x, Histone H2A.X, H2AFX, H2AX, H2A histone family member X, gamma H2A.X, γH2AX, γ-H2AX, γ-H2A.X, p-H2AX, p-H2A.X |
Uniprot ID: | P16104, P27661 |
Immunogen: | KLH conjugated Synthetic phosphopeptide corresponding to Human H2A.X (S139) |
Isotype: | IgG |
Purity: | Affinity purification |
Subcellular location: | Nucleus |
Predicted MW. | 15 kDa |
Observed MW. | 15 kDa |
Product Usage Information
Applications | Species | Dilution | Positive tissue |
WB | Human, Mouse, Rat | 1: 100-1: 500 | A549, L929, PC12 |
IHC | Human, Mouse, Rat | 1: 100-1: 200 | spleen, testis |
ICC/IF | Human, Mouse, Rat | 1: 100-1: 200 | A549, L929, PC12 |
Background
Histone H2A.X belongs to the histone H2A family, which is synthesized in G1 and S phase. It is involved in nucleosomal organization of chromatin together with other histone proteins, and is specially important for recombination between immunoglobulin switch regions. H2A.X becomes phosphorylated on serine 139 (to form gamma-H2AFX or H2AX139ph) in response to DNA double strand breaks (DSBs) generated by exogenous genotoxic agents and by stalled replication forks, which promotes DNA repair and maintains genomic stability.
Images
| Western blot analysis of H2AX (GB111841) at dilution of 1: 1000 Lane 1: A549 cell lysate-untreated Lane 2: A549 cell lysate-treated with UV irradiation Lane 3: L929 cell lysate-untreated Lane 4: L929 cell lysate-treated with UV irradiation Lane 5: PC12 cell lysate-untreated Lane 6: PC12 cell lysate-treated with UV irradiation |
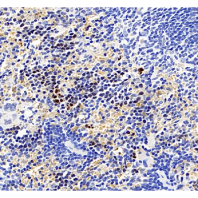
| Immunohistochemistry analysis of paraffin-embedded mouse spleen using H2AX (GB111841) at dilution of 1: 200 |
| Immunohistochemistry analysis of paraffin-embedded rat spleen using H2AX (GB111841) at dilution of 1: 200 |
| Immunohistochemistry analysis of paraffin-embedded mouse testis using H2AX (GB111841) at dilution of 1: 200 |
| Immunohistochemistry analysis of paraffin-embedded rat testis using H2AX (GB111841) at dilution of 1: 200 |
A |
B |
Immunocytochemistry analysis of 4% paraformaldehyde-fixed A549 cell using H2AX (GB111841) at dilution of 1: 200 | A: A549 cell-untreated. B: A549 cell-treated with UV irradiation for 30 min. |
A |
B |
Immunocytochemistry analysis of 4% paraformaldehyde-fixed L929 cell using H2AX (GB111841) at dilution of 1: 200 | A: L929 cell-untreated. B: L929 cell-treated with UV irradiation for 30 min. |
A |
B |
Immunocytochemistry analysis of 4% paraformaldehyde-fixed PC-12 cell using H2AX (GB111841) at dilution of 1: 200 | A: PC-12 cell-untreated. B: PC-12 cell-treated with UV irradiation for 30 min |
Storage
| Storage | Store at -20 °C for one year. Avoid repeated freeze/thaw cycles. |
| Storage Buffer | PBS with 0.02%sodium azide,100 μg/ml BSA and 50% glycerol. |











