Anti-Collagen I Rabbit pAb (100 μl)

0 reviews 0 sold. Only 100 remain
$259.00
Brand:
Product Code: GB114197-100
Stock 2-3 Days

Product Description

Reactivity: H,M,R & H    
Applications: WB & IHC/IF    
Host Species: Rabbit    
Clonality: Polyclonal    
Gene Name:

Collagen alpha-1(I) chain

Synonyms:

COL1A1, EDSC, OI1, OI2, OI3, OI4, collagen type I alpha 1, collagen type I alpha 1 chain

Immunogen:

KLH conjugated Synthetic peptide corresponding to Human collagenⅠ

Uniprot ID:

P02452

Isotype:

IgG

Purity:

Affinity purification

Predicted MW. / Observed MW.

139 kDa / 120-140 kDa




Product Usage Information

Applications

Species

Dilution

Positive Tissue

WB

Human, Mouse, Rat

1: 500-1: 1000

skin, placenta, ovary

IHC/IF

Human

1: 500-1: 1000

colon




Background

This gene encodes the pro-alpha1 chains of type I collagen whose triple helix comprises two alpha1 chains and one alpha2 chain. Type I is a fibril-forming collagen found in most connective tissues and is abundant in bone, cornea, dermis and tendon. Mutations in this gene are associated with osteogenesis imperfecta types I-IV, Ehlers-Danlos syndrome type VIIA, Ehlers-Danlos syndrome Classical type, Caffey Disease and idiopathic osteoporosis.




Images

Anti-Collagen I Rabbit pAb

WB analysis of Collagen I (GB114197).

Sample: Protein treated by RIPA Lysis Buffer (G2002),☆ sample of skin treated by RIPA+SDS Lysis Buffer.

Blocking buffer: 3% Nonfat dry milk (GC310001) in TBST, RT, 1h.

Primary antibody: 1: 1000, 4°C overnight.

Secondary antibody: HRP conjugated Goat Anti-Rabbit lgG (H+L) (GB23303), 1: 3000, RT, 1h.

Anti-COL1A1 Rabbit pAb

WB analysis of Collagen I (GB114197).

Sample: Protein treated by RIPA Lysis Buffer (G2002),☆ sample of skin treated by RIPA+SDS Lysis Buffer.

Blocking buffer: 3% Nonfat dry milk (GC310001) in TBST, RT, 1h.

Primary antibody: 1: 1000, 4°C overnight.

Secondary antibody: HRP conjugated Goat Anti-Rabbit lgG (H+L) (GB23303), 1: 3000, RT, 1h.

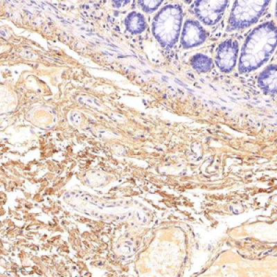
IHC analysis of collagen I (GB114197).

Sample: Human colon (Paraffin), 4% PFA (G1101) 12-24h.

Antigen retrieval: Citrate buffer (pH 6.0) (G1201),98°C,20 min.

Primary antibody: 1: 1000, 4°C overnight.

Secondary antibody: HRP conjugated Goat Anti-Rabbit lgG (H+L) (GB23303), 1: 200, RT, 1h.




Storage

StorageStore at -20 °C for one year. Avoid repeated freeze/thaw cycles.
Storage BufferPBS with 0.02%sodium azide,100 μg/ml BSA and 50% glycerol.


Be the first to write a review for this product.

Write a review

Note: HTML is not translated!
Bad           Good
Size Chart
Anti-Collagen I Rabbit pAb (100 μl)

Anti-Collagen I Rabbit pAb (100 μl)

$259.00