Anti-CD11b Rabbit pAb (100 μl)
Your shopping cart is empty!
Product Description
| Reactivity: | M,R |
| Applications: | IHC/IF |
| Host Species: | Rabbit |
| Clonality: | Polyclonal |
| Gene Name: | Integrin alpha-M |
Synonyms: | CD11B, CR 3 alpha chain, CR3A, ITGAM, MAC 1, MAC1A, MO1A, Neutrophil adherence receptor, SLEB6 |
Immunogen: | KLH conjugated Synthetic peptide corresponding to Mouse CD11b |
Uniprot ID: | P05555 |
Isotype: | IgG |
Purity: | Affinity purification |
Predicted MW. / Observed MW. | Membrane |
Product Usage Information
IHC/IF | Mouse, Rat | 1: 500-1: 1000 | lung+LPS, spleen |
Background
Integrin ITGAM/ITGB2 is implicated in various adhesive interactions of monocytes, macrophages and granulocytes as well as in mediating the uptake of complement-coated particles and pathogens (By similarity).It is identical with CR-3, the receptor for the iC3b fragment of the third complement component. It probably recognizes the R-G-D peptide in C3b. Integrin ITGAM/ITGB2 is also a receptor for fibrinogen, factor X and ICAM1. It recognizes P1 and P2 peptides of fibrinogen gamma chain. Regulates neutrophil migration. In association with beta subunit ITGB2/CD18, required for CD177-PRTN3-mediated activation of TNF primed neutrophils (By similarity).May regulate phagocytosis-induced apoptosis in extravasated neutrophils (By similarity).May play a role in mast cell development (By similarity).
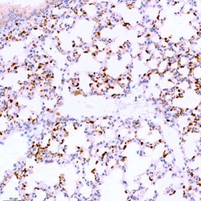
Images
| IHC analysis of CD11b (GB11058). Sample: Mouse lung+lps, 4% PFA (G1101) 12-24h. Antigen retrieval: Citrate buffer (pH 6.0) (G1201),98°C,20 min. Primary antibody: 1: 500, 4°C overnight. Secondary antibody: HRP conjugated Goat Anti-Rabbit lgG (H+L) (GB23303), 1: 200, RT, 1h. |
| IHC analysis of CD11b (GB11058). Sample: Mouse spleen, 4% PFA (G1101) 12-24h. Antigen retrieval: Citrate buffer (pH 6.0) (G1201),98°C,20 min. Primary antibody: 1: 500, 4°C overnight. Secondary antibody: HRP conjugated Goat Anti-Rabbit lgG (H+L) (GB23303), 1: 200, RT, 1h. |
| IHC analysis of CD11b (GB11058). Sample: Rat lung+lps, 4% PFA (G1101) 12-24h. Antigen retrieval: Citrate buffer (pH 6.0) (G1201),98°C,20 min. Primary antibody: 1: 500, 4°C overnight. Secondary antibody: HRP conjugated Goat Anti-Rabbit lgG (H+L) (GB23303), 1: 200, RT, 1h. |
| IF analysis of CD11b (GB11058)red. Sample: Mouse lung+lps, 4% PFA (G1101) 12-24h. Antigen retrieval: TE buffer (pH 9.0) (G1203),98°C,20min. Blocking buffer: 3% BSA in PBS (GC305010), RT, 30min. Primary antibody: 1: 500, 4°C overnight. Secondary antibody: Cy3 conjugated Goat Anti-Rabbit IgG (H+L) (GB21303), 1: 300 RT, 1h. |
Storage
| Storage | Store at -20 °C for one year. Avoid repeated freeze/ thaw cycles. |
| Storage Buffer | PBS with 0.02% sodium azide, 100 μg/ml BSA and 50% glycerol. |




