Recombinant Anti-Iba1 Mouse mAb (100 μl)
Your shopping cart is empty!
Product Description
| Reactivity: | H,M,R |
| Applications: | IHC/IF |
| Host Species: | Mouse |
| Clonality: | Monoclonal |
| Gene Name: | Allograft inflammatory factor 1 |
Synonyms: | AIF-1, IBA, IRT-1, IRT1, allograft, AIF-1, AIF1, G1, IBA1, IRT 1, Protein G1, Ionized calcium-binding adapter molecule 1, MRF1, Microglia response factor, BART 1, AIF1 protein |
Immunogen: | Recombinant protein corresponding to Mouse Iba1 |
Uniprot ID: | O70200 |
Isotype: | lgG1 |
Purity: | Affinity purification |
Subcellular location: | Cytoplasm, Cytoskeleton, Cell projection |
Product Usage Information
IHC/IF | Human, Mouse, Rat | 1: 500-1: 1000 | liver cancer, tonsil, brain |
Background
AIF1, also named as G1, IBA1 or daintain/AIF-1, is a 143 amino acid cytoplasmic, inflammation response scaffold protein. It is constitutively expressed in monocytes and macrophages and is known to be involved in macrophage activation. It is a marker of activated macrophage. Despite a lack of detailed knowledge on the in vivo physiological functions of AIF-1, there is growing evidence that shows its aberrant expression contributes to the pathogenesis of many autoimmune diseases, including rheumatoid arthritis. AIF1 is an actin-binding protein that enhances membrane ruffling and RAC activation. It enhances lymphocyte migration and the actin-bundling activity of LCP1.
Images
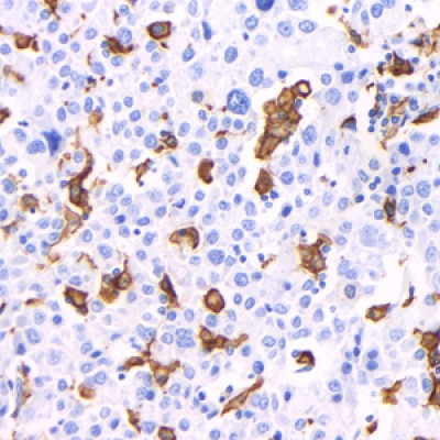
| IHC analysis of IBA-1 (GB15105). Sample: Human liver cancer (Paraffin), 4% PFA (G1101) 12-24h. Antigen retrieval: TE buffer (pH 9.0)(G1203), 98°C 20 min. Blocking buffer: 3% BSA in PBS (GC305010), RT, 30min. Primary antibody: 1: 1000, 4°C overnight. Secondary antibody: HRP Goat Anti-Mouse lgG (GB23301), 1: 200 RT 1h. |
| IHC analysis of IBA-1 (GB15105). Sample: Human tonsil (Paraffin), 4% PFA (G1101) 12-24h. Antigen retrieval: TE buffer (pH 9.0)(G1203), 98°C 20 min. Blocking buffer: 3% BSA in PBS (GC305010), RT, 30min. Primary antibody: 1: 1000, 4°C overnight. Secondary antibody: HRP Goat Anti-Mouse lgG (GB23301), 1: 200 RT 1h. |
| IHC analysis of IBA-1 (GB15105). Sample: Mouse brain (Paraffin), 4% PFA (G1101) 12-24h. Antigen retrieval: TE buffer (pH 9.0)(G1203), 98°C 20 min. Blocking buffer: 3% BSA in PBS (GC305010), RT, 30min. Primary antibody: 1: 1000, 4°C overnight. Secondary antibody: HRP Goat Anti-Mouse lgG (GB23301), 1: 200 RT 1h. |
| IHC analysis of IBA-1 (GB15105). Sample: Rat brain (Paraffin), 4% PFA (G1101) 12-24h. Antigen retrieval: TE buffer (pH 9.0)(G1203), 98°C 20 min. Blocking buffer: 3% BSA in PBS (GC305010), RT, 30min. Primary antibody: 1: 1000, 4°C overnight. Secondary antibody: HRP Goat Anti-Mouse lgG (GB23301), 1: 200 RT 1h. |
Storage
| Storage | Store at -20 °C for one year. Avoid repeated freeze/thaw cycles. |
| Storage Buffer | PBS with 0.02%sodium azide,100 μg/ml BSA and 50% glycerol. |




