Anti-c-Fos Mouse mAb (100 μl)
Your shopping cart is empty!
Product Description
| Reactivity: | H,M,R & H,M,R |
| Applications: | WB & IHC/IF |
| Host Species: | Mouse |
| Clonality: | Monoclonal |
| Gene Name: | Actin, aortic smooth muscle |
Synonyms: | Actin, aortic smooth muscle, Alpha-actin-2, Cell growth-inhibiting gene 46 protein, ACTA2, ACTSA, ACTVS, GIG46, SMA, a-sma, sma |
Immunogen: | KLH conjugated Synthetic peptide corresponding to Human a-SMA |
Uniprot ID: | P62736 |
Isotype: | lgG |
Purity: | Affinity purification |
Subcellular location: | Cytoplasm, Cytoskeleton |
Predicted MW. / Observed MW. | 42 kDa / 42 kDa |
Product Usage Information
WB | Human, Mouse, Rat | 1: 500-1: 1000 | heart, liver, lung |
IHC/IF | Human, Mouse, Rat | 1: 500-1: 1500 | lung, liver, heart, colon, brain |
Background
Actins are highly conserved proteins that are involved in various types of cell motility and are ubiquitously expressed in all eukaryotic cells.
Images
| WB analysis of a-SMA (GB12045). |
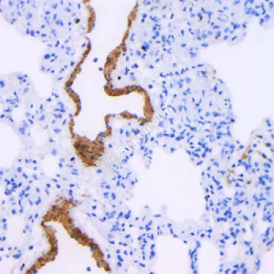
| IHC analysis of a-smA (GB12045). Sample: Mouse lung (Paraffin), 4% PFA (G1101) 12-24h. Antigen retrieval: Citrate buffer (pH 6.0) (G1201), pressure cooker 2min. Blocking buffer: 3% BSA in PBS (GC305010), RT, 30min. Primary antibody: 1: 500, 4°C overnight. Secondary antibody: HRP Goat Anti-Mouse lgG (GB23301), 1: 3000, RT, 1h. |
| IHC analysis of a-smA (GB12045). Sample: Rat lung (Paraffin), 4% PFA (G1101) 12-24h. Antigen retrieval: Citrate buffer (pH 6.0) (G1201), pressure cooker 2min. Blocking buffer: 3% BSA in PBS (GC305010), RT, 30min. Primary antibody: 1: 500, 4°C overnight. Secondary antibody: HRP Goat Anti-Mouse lgG (GB23301), 1: 3000, RT, 1h. |
| IHC analysis of a-smA (GB12045). Sample: Human liver (Paraffin), 4% PFA (G1101) 12-24h. Antigen retrieval: Citrate buffer (pH 6.0) (G1201), pressure cooker 2min. Blocking buffer: 3% BSA in PBS (GC305010), RT, 30min. Primary antibody: 1: 500, 4°C overnight. Secondary antibody: HRP Goat Anti-Mouse lgG (GB23301), 1: 3000, RT, 1h. |
| IHC analysis of a-smA (GB12045). Sample: Mouse heart (Paraffin), 4% PFA (G1101) 12-24h. Antigen retrieval: Citrate buffer (pH 6.0) (G1201), pressure cooker 2min. Blocking buffer: 3% BSA in PBS (GC305010), RT, 30min. Primary antibody: 1: 500, 4°C overnight. Secondary antibody: HRP Goat Anti-Mouse lgG (GB23301), 1: 3000, RT, 1h. |
| IHC analysis of a-smA (GB12045). Sample: Human endometrial carcinoma (Paraffin), 4% PFA (G1101) 12-24h. Antigen retrieval: Citrate buffer (pH 6.0) (G1201), pressure cooker 2min. Blocking buffer: 3% BSA in PBS (GC305010), RT, 30min. Primary antibody: 1: 500, 4°C overnight. Secondary antibody: HRP Goat Anti-Mouse lgG (GB23301), 1: 3000, RT, 1h. |
| IHC analysis of a-smA (GB12045). Sample: Rat colon (Paraffin), 4% PFA (G1101) 12-24h. Antigen retrieval: Citrate buffer (pH 6.0) (G1201), pressure cooker 2min. Blocking buffer: 3% BSA in PBS (GC305010), RT, 30min. Primary antibody: 1: 500, 4°C overnight. Secondary antibody: HRP Goat Anti-Mouse lgG (GB23301), 1: 3000, RT, 1h. |
| IHC analysis of a-smA (GB12045). Sample: Mouse colon (Paraffin), 4% PFA (G1101) 12-24h. Antigen retrieval: Citrate buffer (pH 6.0) (G1201), pressure cooker 2min. Blocking buffer: 3% BSA in PBS (GC305010), RT, 30min. Primary antibody: 1: 500, 4°C overnight. Secondary antibody: HRP Goat Anti-Mouse lgG (GB23301), 1: 3000, RT, 1h. |
| IHC analysis of a-smA (GB12045). Sample: Rat brain (Paraffin), 4% PFA (G1101) 12-24h. Antigen retrieval: Citrate buffer (pH 6.0) (G1201), pressure cooker 2min. Blocking buffer: 3% BSA in PBS (GC305010), RT, 30min. Primary antibody: 1: 500, 4°C overnight. Secondary antibody: HRP Goat Anti-Mouse lgG (GB23301), 1: 3000, RT, 1h. |
Storage
| Storage | Store at -20 °C for one year. Avoid repeated freeze/thaw cycles. |
| Storage Buffer | PBS with 0.02%sodium azide,100 μg/ml BSA and 50% glycerol. |









