Anti-Claudin 1 Rabbit pAb (100 μl)
Your shopping cart is empty!
Product Description
| Reactivity: | H,M,R & H |
| Applications: | WB & IHC/IF |
| Host Species: | Rabbit |
| Clonality: | Polyclonal |
| Gene Name: | Claudin-1 |
Synonyms: | Cldn1, SEMP1, CLD1, Senescence associated epithelial membrane protein 1, ILVASC |
Immunogen: | KLH conjugated Synthetic peptide corresponding to Human Claudin 1 |
Uniprot ID: | O95832 |
Isotype: | IgG |
Purity: | Affinity purification |
Subcellular location: | Cell membrane |
Predicted MW. / Observed MW. | 23 kDa / 20 kDa |
Product Usage Information
WB | Human, Mouse, Rat | 1: 200-1: 1000 | fetal liver, fetal kidney, testis, skin |
IHC/IF | Human | 1: 800-1: 2000 | colon cancer, skin, stomach cancer |
Background
Claudins are a family of proteins that are the most important components of the tight junctions, where they establish the paracellular barrier that controls the flow of molecules in the intercellular space between the cells of an epithelium. 23 claudins have been identified. They are small (20-27 kilodalton (kDa)) proteins with very similar structure. They have four transmembrane domains, with the N-terminus and the C-terminus in the cytoplasm. Claudin-1 is expressed primarily in keratinocytes and normal mammary epithelial cells.
Images
| Western blot analysis of Claudin 1 (GB112543) at dilution of 1: 1000 |
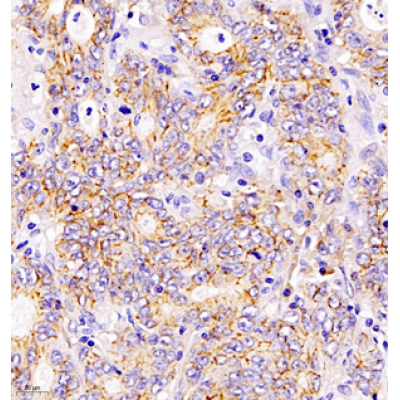
| Immunohistochemistry analysis of paraffin embedded human colon cancer using claudin1 (GB112543) at dilution of 1: 1000 |
| Immunohistochemistry analysis of paraffin embedded human skin using claudin1 (GB112543) at dilution of 1: 1000 |
Storage
| Storage | Store at -20 °C for one year. Avoid repeated freeze/thaw cycles. |
| Storage Buffer | PBS with 0.02%sodium azide,100 μg/ml BSA and 50% glycerol. |



