Recombinant Anti-VEGFA Rabbit mAb (100 μl)
Your shopping cart is empty!
Product Description
| Reactivity: | H,M,R |
| Applications: | IHC/IF |
| Host Species: | Rabbit |
| Clonality: | Monoclonal |
| Gene Name: | Vascular endothelial growth factor A |
Synonyms: | VEGF-A, Vascular permeability factor, VPF, VEGFA, VEGF, glioma-derived endothelial cell mitogen, MVCD1, VEGF165A |
Immunogen: | KLH conjugated Synthetic peptide corresponding to Human VEGFA |
Uniprot ID: | P15692 |
Isotype: | IgG |
Purity: | Affinity purification |
Subcellular location: | Secreted |
Product Usage Information
IHC/IF | Human, Mouse, Rat | 1: 200-1: 400 | kidney, stomach, liver cancer |
Background
Vascular endothelial growth factor (VEGF), originally known as vascular permeability factor (VPF), is a signal protein produced by cells that stimulates the formation of blood vessels. To be specific, VEGF is a sub-family of growth factors, the platelet-derived growth factor family of cystine-knot growth factors.
Images
| IHC analysis of VEGFA (GB15165). Sample: Human kidney (Paraffin), 4% PFA (G1101) 12-24h. Antigen retrieval: Citrate buffer (pH 6.0) (G1201),98°C,20 min. Blocking buffer: 3% BSA in PBS (GC305010), RT, 30min. Primary antibody: 1: 250, 4°C overnight. Secondary antibody: HRP Goat Anti-Rabbit lgG (GB23303), 1: 200 RT 1h. |
| IHC analysis of VEGFA (GB15165). Sample: Human leiomyosarcoma (Paraffin), 4% PFA (G1101) 12-24h. Antigen retrieval: Citrate buffer (pH 6.0) (G1201),98°C,20 min. Blocking buffer: 3% BSA in PBS (GC305010), RT, 30min. Primary antibody: 1: 250, 4°C overnight. Secondary antibody: HRP Goat Anti-Rabbit lgG (GB23303), 1: 200 RT 1h. |
| IHC analysis of VEGFA (GB15165). Sample: Human liver cancer (Paraffin), 4% PFA (G1101) 12-24h. Antigen retrieval: Citrate buffer (pH 6.0) (G1201),98°C,20 min. Blocking buffer: 3% BSA in PBS (GC305010), RT, 30min. Primary antibody: 1: 250, 4°C overnight. Secondary antibody: HRP Goat Anti-Rabbit lgG (GB23303), 1: 200 RT 1h. |
| IHC analysis of VEGFA (GB15165). Sample: Human stomach (Paraffin), 4% PFA (G1101) 12-24h. Antigen retrieval: Citrate buffer (pH 6.0) (G1201),98°C,20 min. Blocking buffer: 3% BSA in PBS (GC305010), RT, 30min. Primary antibody: 1: 250, 4°C overnight. Secondary antibody: HRP Goat Anti-Rabbit lgG (GB23303), 1: 200 RT 1h. |
| IHC analysis of VEGFA (GB15165). Sample: Mouse kidney (Paraffin), 4% PFA (G1101) 12-24h. Antigen retrieval: Citrate buffer (pH 6.0) (G1201),98°C,20 min. Blocking buffer: 3% BSA in PBS (GC305010), RT, 30min. Primary antibody: 1: 250, 4°C overnight. Secondary antibody: HRP Goat Anti-Rabbit lgG (GB23303), 1: 200 RT 1h. |
| IHC analysis of VEGFA (GB15165). Sample: Mouse placenta (Paraffin), 4% PFA (G1101) 12-24h. Antigen retrieval: Citrate buffer (pH 6.0) (G1201),98°C,20 min. Blocking buffer: 3% BSA in PBS (GC305010), RT, 30min. Primary antibody: 1: 250, 4°C overnight. Secondary antibody: HRP Goat Anti-Rabbit lgG (GB23303), 1: 200 RT 1h. |
| IHC analysis of VEGFA (GB15165). Sample: Mouse subcutaneous nude-mouse model of 4T1 cell (Paraffin), 4% PFA (G1101) 12-24h. Antigen retrieval: Citrate buffer (pH 6.0) (G1201),98°C,20 min. Blocking buffer: 3% BSA in PBS (GC305010), RT, 30min. Primary antibody: 1: 250, 4°C overnight. Secondary antibody: HRP Goat Anti-Rabbit lgG (GB23303), 1: 200 RT 1h. |
| IHC analysis of VEGFA (GB15165). Sample: Mouse subcutaneous nude-mouse model of 4T1 cell (Paraffin), 4% PFA (G1101) 12-24h. Antigen retrieval: Citrate buffer (pH 6.0) (G1201),98°C,20 min. Blocking buffer: 3% BSA in PBS (GC305010), RT, 30min. Primary antibody: 1: 250, 4°C overnight. Secondary antibody: HRP Goat Anti-Rabbit lgG (GB23303), 1: 200 RT 1h. |
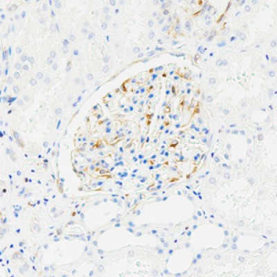
![]() | IHC analysis of VEGFA(GB15165). Sample: Rat kidney, 4% PFA (G1101) 12-24h. Antigen retrieval: Citrate buffer (pH 6.0) (G1201),98°C,20 min. Blocking buffer: 3% BSA in PBS (GC305010), RT, 30min. Primary antibody: 1: 400, 4°C overnight. Secondary antibody: S-vision poly-HRP conjugated Goat Anti-Rabbit lgG(H+L), Ready to use(G1302), RT, 20min. |
![]() | IHC analysis of VEGFA(GB15165). Sample: Rat kidney, 4% PFA (G1101) 12-24h. Antigen retrieval: Citrate buffer (pH 6.0) (G1201),98°C,20 min. Blocking buffer: 3% BSA in PBS (GC305010), RT, 30min. Primary antibody: 1: 400, 4°C overnight. Secondary antibody: S-vision poly-HRP conjugated Goat Anti-Rabbit lgG(H+L), Ready to use(G1302), RT, 20min. |
![]() | IHC analysis of VEGFA(GB15165). Sample: Rat kidney, 4% PFA (G1101) 12-24h. Antigen retrieval: Citrate buffer (pH 6.0) (G1201),98°C,20 min. Blocking buffer: 3% BSA in PBS (GC305010), RT, 30min. Primary antibody: 1: 400, 4°C overnight. Secondary antibody: S-vision poly-HRP conjugated Goat Anti-Rabbit lgG(H+L), Ready to use(G1302), RT, 20min. |
![]() | IHC analysis of VEGFA(GB15165). Sample: Rat kidney, 4% PFA (G1101) 12-24h. Antigen retrieval: Citrate buffer (pH 6.0) (G1201),98°C,20 min. Blocking buffer: 3% BSA in PBS (GC305010), RT, 30min. Primary antibody: 1: 400, 4°C overnight. Secondary antibody: S-vision poly-HRP conjugated Goat Anti-Rabbit lgG(H+L), Ready to use(G1302), RT, 20min. |
![]() | IHC analysis of VEGFA(GB15165). Sample: Rat kidney, 4% PFA (G1101) 12-24h. Antigen retrieval: Citrate buffer (pH 6.0) (G1201),98°C,20 min. Blocking buffer: 3% BSA in PBS (GC305010), RT, 30min. Primary antibody: 1: 400, 4°C overnight. Secondary antibody: S-vision poly-HRP conjugated Goat Anti-Rabbit lgG(H+L), Ready to use(G1302), RT, 20min. |
![]() | IHC analysis of VEGFA(GB15165). Sample: Rat kidney, 4% PFA (G1101) 12-24h. Antigen retrieval: Citrate buffer (pH 6.0) (G1201),98°C,20 min. Blocking buffer: 3% BSA in PBS (GC305010), RT, 30min. Primary antibody: 1: 400, 4°C overnight. Secondary antibody: S-vision poly-HRP conjugated Goat Anti-Rabbit lgG(H+L), Ready to use(G1302), RT, 20min. |
![]() | IHC analysis of VEGFA(GB15165). Sample: Rat lung, 4% PFA (G1101) 12-24h. Antigen retrieval: Citrate buffer (pH 6.0) (G1201),98°C,20 min. Blocking buffer: 3% BSA in PBS (GC305010), RT, 30min. Primary antibody: 1: 400, 4°C overnight. Secondary antibody: S-vision poly-HRP conjugated Goat Anti-Rabbit lgG(H+L), Ready to use(G1302), RT, 20min. |
Storage
| Storage | Store at -20 °C for one year. Avoid repeated freeze/thaw cycles. |
| Storage Buffer | PBS with 0.02%sodium azide,100 μg/ml BSA and 50% glycerol. |















