Anti-CD34 Mouse mAb (100 μl)
Your shopping cart is empty!
Product Description
| Reactivity: | Human, Mouse, Rat |
| Applications: | IHC/IF |
| Host Species: | Mouse |
| Clonality: | Monoclonal |
| Gene Name: | Hematopoietic progenitor cell antigen CD34 |
| Synonyms: | CD34, HPCA1, Mucosialin, Cluster designation 34, cluster of differentiation 34, CD34 antigen, CD34 molecule |
| Immunogen: | Human recombinant CD34 protein expressed in CHO cells |
| Uniprot ID: | P28906 |
| Isotype: | IgG1,κ |
| Purity: | Affinity purification |
| Subcellular location: | Membrane |
| Documents: | Manual-CD34 Antibody |
Product Usage Information
Applications | Species | Dilution | Positive Sample |
IHC/IF | Human, Mouse, Rat | 1: 500-1: 1000 | breast cancer, cervical cancer, gastric cancer |
Background
CD34 is a 105- to 120-kDa glycophosphoprotein expressed on the majority of hematopoietic stem/progenitor cells, bone marrow stromal cells, capillary endothelial cells, embryonic fibroblasts, and some nerve tissue. CD34 is a commonly used marker for identifying human hematopoietic stem/progenitor cells and mediates cell adhesion and lymphocyte homing by binding L-selectin and E-selectin ligands. CD34 is also one of the best negative selection markers for characterizing and/or isolating human MSCs from bone marrow and other sources.
Images
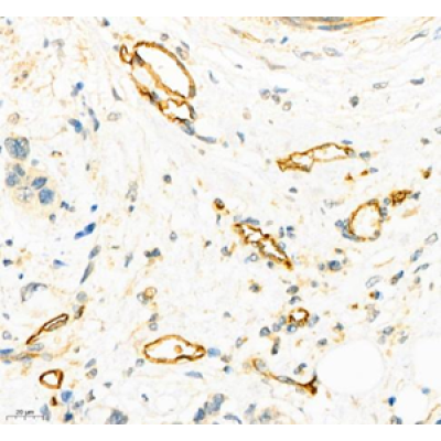
![]() | IHC analysis of CD34 (GB121693). Sample: Human breast cancer (Paraffin), 4% PFA (G1101) 12-24h. Antigen retrieval: Citrate buffer (pH 6.0) (G1201), pressure cooker 2min. Blocking buffer: 3% BSA in PBS (GC305010), RT, 30min. Primary antibody: 1: 500, 4°C overnight. Secondary antibody: HRP Goat Anti-Mouse lgG (GB23301), 1: 200 RT 1h. |
![]() | IHC analysis of CD34 (GB121693). Sample: Human gastric cancer (Paraffin), 4% PFA (G1101) 12-24h. Antigen retrieval: Citrate buffer (pH 6.0) (G1201), pressure cooker 2min. Blocking buffer: 3% BSA in PBS (GC305010), RT, 30min. Primary antibody: 1: 500, 4°C overnight. Secondary antibody: HRP Goat Anti-Mouse lgG (GB23301), 1: 200 RT 1h. |
![]() | IHC analysis of CD34 (GB121693). Sample: Human ovarian cancer (Paraffin), 4% PFA (G1101) 12-24h. Antigen retrieval: Citrate buffer (pH 6.0) (G1201), pressure cooker 2min. Blocking buffer: 3% BSA in PBS (GC305010), RT, 30min. Primary antibody: 1: 500, 4°C overnight. Secondary antibody: HRP Goat Anti-Mouse lgG (GB23301), 1: 200 RT 1h. |
![]() | IF analysis of CD34 (GB121693). Sample: Human cervical cancer (Paraffin), 4% PFA (G1101) 12-24h. Antigen retrieval: Citrate buffer (pH 6.0) (G1201), pressure cooker 2min. Blocking buffer: 3% BSA in PBS (GC305010), RT, 30min. Primary antibody: 1: 500, 4°C overnight. Secondary antibody: Cy3 conjugated Goat Anti-mouse IgG (H+L)(GB21301),1: 200 RT 1h. |
![]() | IF analysis of CD34 (GB121693). Sample: Human liver (Paraffin), 4% PFA (G1101) 12-24h. Antigen retrieval: Citrate buffer (pH 6.0) (G1201), pressure cooker 2min. Blocking buffer: 3% BSA in PBS (GC305010), RT, 30min. Primary antibody: 1: 500, 4°C overnight. Secondary antibody: Cy3 conjugated Goat Anti-mouse IgG (H+L)(GB21301),1: 200 RT 1h. |
![]() | IF analysis of CD34 (GB121693). Sample: Human ovarian cancer (Paraffin), 4% PFA (G1101) 12-24h. Antigen retrieval: Citrate buffer (pH 6.0) (G1201), pressure cooker 2min. Blocking buffer: 3% BSA in PBS (GC305010), RT, 30min. Primary antibody: 1: 500, 4°C overnight. Secondary antibody: Cy3 conjugated Goat Anti-mouse IgG (H+L)(GB21301),1: 200 RT 1h. |
![]() | IF analysis of CD34 (GB121693). Sample: Mouse uterus (Paraffin), 4% PFA (G1101) 12-24h. Antigen retrieval: Citrate buffer (pH 6.0) (G1201), pressure cooker 2min. Blocking buffer: 3% BSA in PBS (GC305010), RT, 30min. Primary antibody: 1: 500, 4°C overnight. Secondary antibody: Cy3 conjugated Goat Anti-mouse IgG (H+L)(GB21301),1: 200 RT 1h. |
![]() | IF analysis of CD34 (GB121693). Sample: Rat brain (Paraffin), 4% PFA (G1101) 12-24h. Antigen retrieval: Citrate buffer (pH 6.0) (G1201), pressure cooker 2min. Blocking buffer: 3% BSA in PBS (GC305010), RT, 30min. Primary antibody: 1: 500, 4°C overnight. Secondary antibody: Cy3 conjugated Goat Anti-mouse IgG (H+L)(GB21301),1: 200 RT 1h. |
Storage
| Storage | Store at -20 °C for one year. Avoid repeated freeze/thaw cycles. |
| Storage Buffer | PBS with 0.02%sodium azide,100 μg/ml BSA and 50% glycerol. |
You may also be interested in:








