CDC25A Rabbit pAb (20 μl)

0 reviews 0 sold. Only 100 remain
$108.00
Brand:
Product Code: A1173
Stock 2-3 Days

Product Description

Reactivity: Human, Mouse, Rat    
Applications: WB, IHC, IF/IC, ELISA    
Host Species: Rabbit    
Isotype: IgG    
Clonality: Polyclonal antibody    
Gene Name: cell division cycle 25A
Gene Symbol: CDC25A
Synonyms: CDC25A2; CDC25A
Gene ID: 993
UniProt ID: P30304
Immunogen: Recombinant fusion protein containing a sequence corresponding to amino acids 86-328 of CDC25A (NP_001780.2).
Dilution: WB 1:500-1:1000; IHC 1:50-1:200; IF/IC 1:50-1:200
Purification Method: Affinity purification
Concentration: 1.28 mg/ml
Buffer: PBS with 0.09% Sodium azide, 50% glycerol, pH7.3.
Storage: Store at -20°C. Avoid freeze/thaw cycles.
Documents: Manual-CDC25A antibody




Background

CDC25A is a member of the CDC25 family of phosphatases. CDC25A is required for progression from G1 to the S phase of the cell cycle. It activates the cyclin-dependent kinase CDC2 by removing two phosphate groups. CDC25A is specifically degraded in response to DNA damage, which prevents cells with chromosomal abnormalities from progressing through cell division. CDC25A is an oncogene, although its exact role in oncogenesis has not been demonstrated. Two transcript variants encoding different isoforms have been found for this gene.




Images

CDC25A antibodyWestern blot analysis of various lysates using CDC25A Rabbit pAb (A1173) at 1:1000 dilution.
Secondary antibody: HRP-conjugated Goat anti-Rabbit IgG (H+L) (AS014) at 1:10000 dilution.
Lysates/proteins: 25μg per lane.
Blocking buffer: 3% nonfat dry milk in TBST.
Detection: ECL Basic Kit (RM00020).
Exposure time: 60s.
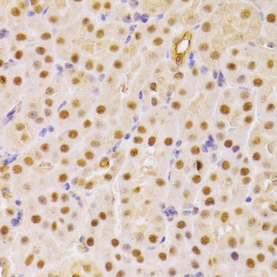
anti CDC25A antibodyImmunohistochemistry analysis of paraffin-embedded Rat liver using CDC25A Rabbit pAb (A1173) at dilution of 1:100 (40x lens). Microwave antigen retrieval performed with 0.01M PBS Buffer (pH 7.2) prior to IHC staining.
Immunohistochemistry analysis of paraffin-embedded Human liver damage using CDC25A Rabbit pAb (A1173) at dilution of 1:100 (40x lens). Microwave antigen retrieval performed with 0.01M PBS Buffer (pH 7.2) prior to IHC staining.
Immunohistochemistry analysis of paraffin-embedded Mouse kidney using CDC25A Rabbit pAb (A1173) at dilution of 1:100 (40x lens). Microwave antigen retrieval performed with 0.01M PBS Buffer (pH 7.2) prior to IHC staining.
Immunofluorescence analysis of HeLa cells using CDC25A Rabbit pAb (A1173) at dilution of 1:100 (40x lens). Secondary antibody: Cy3-conjugated Goat anti-Rabbit IgG (H+L) (AS007) at 1:500 dilution. Blue: DAPI for nuclear staining.



You may also be interested in:

Be the first to write a review for this product.

Write a review

Note: HTML is not translated!
Bad           Good
Size Chart
CDC25A Rabbit pAb (20 μl)

CDC25A Rabbit pAb (20 μl)

$108.00